Mis à jour le 10/02/2025

Partager :

GE Healthcare, Orange Healthcare et TheraPanacea collaborent avec l’AP-HP et la Société d’Imagerie Thoracique pour créer une base de données inédite sur le COVID-19

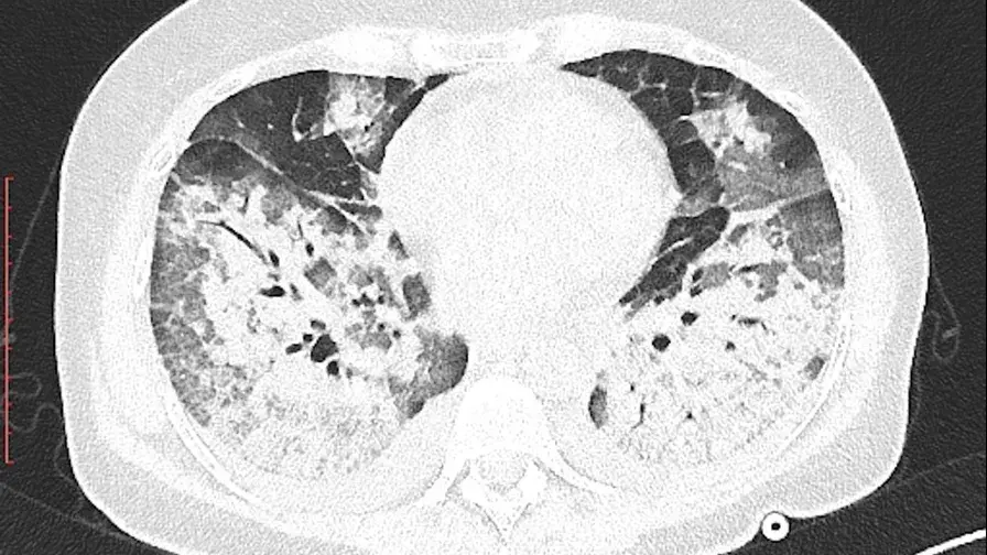
GE Healthcare, Orange Healthcare et TheraPanacea collaborent avec l’AP-HP et la Société d’Imagerie Thoracique pour créer une base de données inédite sur le COVID-19 et développer de nouveaux outils fondés sur l’intelligence artificielle. Un projet de recherche clinique sur le Coronavirus s’appuie sur l’annotation massive de 10 000 scanners thoraciques réalisés pour suspicion de COVID-19. Les données recueillies permettront de constituer une base de données sans précédent afin d’enrichir nos connaissances sur cette maladie, et d’évaluer l’apport de l’intelligence artificielle dans le diagnostic et l’évaluation du pronostic. L’expertise acquise pourra être mise à profit pour la prise en charge d’autres maladies pulmonaires.

  • Imagerie thoracique
  • Cette collaboration vise à soutenir le projet STOIC (Scanner ThOracique pour le dIagnostic de la pneumonie liée au Covid-19) porté par le Professeur Marie-Pierre Revel, cheffe de l’unité d’imagerie cardiothoracique de l’hôpital Cochin, une étude d’envergure qui vise à analyser 10 000 scanners thoraciques effectués pour suspicion de COVID-19.

    Un groupe de vingt radiologues experts de la Société d’Imagerie Thoracique mobilisés sur ce projet utilise une application web de visualisation d’image 3D, développée par GE Healthcare sur la plateforme EDISON ™ et déployée par Orange Healthcare via un accès réseau et une infrastructure d’hébergement des données de santé sécurisés. 

    L’ensemble des données, provenant de nombreux hôpitaux publics parisiens, mais également de Rennes, Lyon et Strasbourg, constituera une base de données sans précédent sur le COVID-19. 

    Le projet STOIC est soutenu par un mécénat de plusieurs sociétés et fondations, toutes mobilisées par l’urgence sanitaire : Société Innothera, Société Guerbet, Fondation Centrale Supélec, Fondation de l’AP-HP pour la Recherche.