Mis à jour le 10/02/2025

Partager :

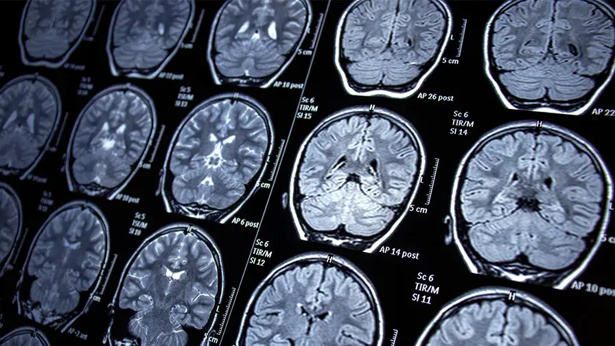
Un nouveau candidat-médicament ralentit la progression de l’adrénoleucodystrophie

Les résultats des chercheurs ont fait l’objet d’une publication dans The Lancet Neurology. Le professeur Fanny Mochel du service de génétique médicale de l’hôpital Pitié-Salpêtrière AP-HP et de Sorbonne Université et de l’Institut du Cerveau, en collaboration avec des équipes de recherche clinique réparties dans huit pays et la biotech espagnole Minoryx Therapeutics, a mis en évidence les effets protecteurs de la leriglitazone dans l’évolution de l’adrénoleucodystrophie, une maladie génétique rare dans laquelle on observe une atteinte de la substance blanche du système nerveux central.

  • Un nouveau candidat-médicament ralentit la progression de l’adrénoleucodystrophie
    © AP-HP
  • La plupart des maladies neurodégénératives rares souffrent de l’absence de traitements efficaces. C’est le cas de l’adrénoleucodystrophie liée à l’X (ou X-ALD), une affection héréditaire qui touche six à huit naissances sur 100 000. Elle se caractérise par l’accumulation excessive d’acides gras à très longues chaînes dans les tissus du corps, notamment au niveau du cerveau, de la moelle épinière et des glandes surrénales.
    Quand ils atteignent l’âge adulte, ces patients présentent une dégénérescence de la moelle épinière. En conséquence, ils manifestent souvent une adrénomyéloneuropathie (AMN) à l’origine de symptômes chroniques handicapants, en particulier une raideur à la marche et des troubles de l’équilibre qui augmentent le risque de chutes. Des troubles urinaires sont fréquemment associés.